Emergency room 2
Description
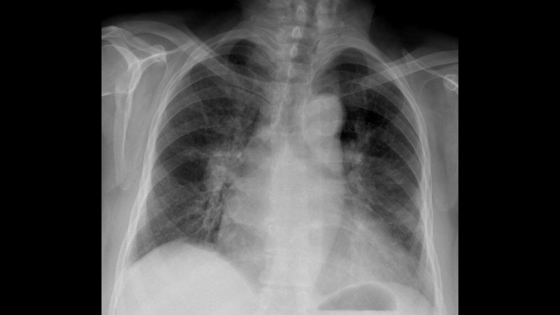
You need to find the diagnosis. First, analyze the picture and the different elements that are given to you. Take a paper and note down all the clues and arguments that will lead you to the right diagnosis. When you are finished, start a debate with the colleague of your choice in the next section!
Blood test
Hematology
- Hb12 g/dl
- Leucocytes12.5 G/L
- Platelets350 G/L
Biochemistry
- Creatinine level80 µmol/L
- Urea5 mmol/L
- Sodium140 mmol/L
- Potassium4 mmol/L
- CRP7 mg/L (N<6)
- Glycemia2.5 g/L
Others
- D-dimer800 µg/ml (N<500)
- Troponin0.2 µg/L (N<0.05)
- BNP30 pg/ml (N<74)



